|
中山大学学子、留美博士张则达等发现前列腺肿瘤耐药性“生存信号”科技日报 2020-07-19 作者:龙跃梅 |
7月16日,纪念斯隆凯特琳癌症研究中心博士生张则达等在《Cancer Cell》发表文章Tumor Microenvironment-Derived NRG1 Promotes AntiandrogenResistance in Prostate Cancer,鉴定出前列腺肿瘤微环境中成纤维细胞所分泌的生长因子作为一种“生存信号”,保护了前列腺肿瘤细胞,增加了患者对靶向治疗的耐药性,从而降低了前列腺癌症激素治疗的效果。

肿瘤的靶向治疗在过去的20年里取得了令人瞩目的突破性进展。通过对肿瘤样本的高通量测序以及大规模功能基因组学的手段寻找驱动肿瘤的关键基因,并对其进行精确的“打靶“,进而以较小的毒副作用,有选择性的杀死肿瘤细胞已经逐渐成为大多数癌症治疗的标准化手段。靶向治疗的效应和有效时间往往受限于肿瘤自身的异质性以及与肿瘤细胞与其周围微环境的复杂相互作用,肿瘤微环境常常作为滋养肿瘤生长的”土壤“,通过为肿瘤细胞提供营养物质以及生存信号进一步助纣为虐。
前列腺癌是男性高发的肿瘤之一,世界范围内每年有超过100万的成年男性确诊(WHO CancerReport 2020), 在进展性的前列腺癌症中,大约10-20%会进一步发展成为对传统激素疗法耐药的去势抵抗性前列腺癌,而其中84%在确诊时已经转移。尽管基于第二代雄激素受体抑制剂的激素治疗手段大大提高了患者的无进展生存期和总体中位生存期,晚期前列腺癌的5年生存率依然不足30%。
近年来,大规模的临床数据表明,目前最强力的激素治疗组合仍然不能杀死所有的肿瘤细胞。仅有极少数患者在接受激素治疗后能获得彻底的治愈。绝大部分患者仍然带有剩余病灶,而这些带有剩余病灶的患者的肿瘤几乎无一例外的会进一步发展成为去势抵抗性前列腺癌,最终成为不治之症。找到并阻断维持肿瘤细胞存活的信号对于完全缓解并治愈局部进展期的前列腺癌症患者具有至关重要的临床意义。

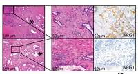
通过对新辅助激素治疗的患者样本进行NRG1免疫组化分析发现激素治疗后的患者NRG1阳性率显著增加。
该研究成果的灵感来自于一次意外的发现,作者在患者衍生的小鼠异植体肿瘤中分离出一株混有成间质细胞的表皮肿瘤细胞株,意外的发现在去除混入的间质细胞后,癌症细胞对于雄激素受体抑制剂的敏感程度显著提高。提示着间质细胞的存在可能能够保护肿瘤细胞免受雄激素受体抑制剂的杀伤。随后作者通过一系列的实验手段,运用多种肿瘤细胞,类器官(organoid)以及小鼠异植体模型证明了间质细胞,尤其是肿瘤周围的成纤维细胞的存在能够极大的促进前列腺肿瘤对于激素治疗的抗药性。作者为了找到成纤维细胞促进肿瘤细胞抗药性的原因,进行了一系列的实验探索。
这项研究的论文第一作者张则达2012年毕业于中山大学生命科学院,后赴美国纪念斯隆凯特琳癌症研究中心攻读博士。据介绍,纪念斯隆凯特琳癌症研究中心Charles Sawyers教授、姜学军教授以及Philip Watson博士为该成果论文的通讯作者。德克萨斯大学西南医学研究中心的牟平教授与纪念斯隆凯特琳癌症研究中心的Brett Carver和Wouter Karthaus亦对此项研究做出重要贡献。
责任编辑:杨茗
上一篇:以色列研发病毒小片段生成方法
科普中国APP
科普中国微信
科普中国微博

最新文章
-
为何太阳系所有行星都在同一平面上旋转?
新浪科技 2021-09-29
-
我国学者揭示早期宇宙星际间重元素起源之谜
中国科学报 2021-09-29
-
比“胖五”更能扛!我国新一代载人运载火箭要来了
科技日报 2021-09-29
-
5G演进已开始,6G研究正进行
光明日报 2021-09-28
-
“早期暗能量”或让宇宙年轻10亿岁
科技日报 2021-09-28
-
5G、大数据、人工智能,看看现代交通的创新元素
新华网 2021-09-28








