|
明知吸烟不好但就是戒不掉,烟瘾缠身还有救吗?科普中国-我是科学家 2020-01-09 |
作者:刘凝音
编辑:韩李菲 麦芽杨
想想看,当你想品尝一顿美食或享受一个美好的下午茶时,却被浓重的烟味围绕,头晕脑胀……
也许大多数人都有过如此无奈的经历,中国控烟协会副会长姜垣也曾遇到过:她在参加一位晚辈的婚礼时,发现有人在饭桌上抽烟,不顾及这是公共场合而且旁边还有儿童和孕妇。劝阻无效后,姜垣选择离席,饭也没吃[1]。

婚礼发喜烟是一项礼仪,但浓厚的烟雾确实会破坏温馨环境…… | 图虫创意
控烟为什么难?因为戒烟难。
戒烟为什么难?因为“瘾”难戒。
多项研究证实,吸烟是肿瘤、心血管疾病和脑卒中(中风)等多种疾病的致病因子,而且,吸烟导致的疾病会对社会经济造成损失,增加医疗卫生支出,还会提高发病率、死亡率等流行病学指标,是位居第二的(仅次于高血压)全球疾病负担危险因素。
中国是全世界最大的烟草生产国,具有数量最庞大的烟草消费者,同时也面临着主要烟草相关疾病的高发病率,在2005年和2010年,吸烟造成了我国67万和100万人死亡[2]。
高危致病因子及惊人的死亡人数会不会让吸烟者虎躯一震,从此远离香烟?——换句话说,吸烟者是否真的不了解这些危害?
其实,吸烟者并非不知情,只是做不到。因为有尼古丁在背后作怪。
1
尼古丁(Nicotine)是一种存在于很多茄科植物中的生物碱,能为人们提供愉悦感受,并在一定程度上促进注意力集中。由于尼古丁在烟草(Nicotiana tabacum)中含量最高,人们创造性地发明了“燃烧死亡植物”的摄取方式,并从此流传。

尼古丁|Wikipedia
尽管人们目前还无法确定尼古丁是否会对健康造成危害,但容易成瘾的特性使其成为形成吸烟并发症的原因之一,导致了许多本可避免的疾病与死亡[3]。
广义的“成瘾”被认为是能引发人强烈快感的物质和行为。在现实中,“瘾君子”随处可见,烟瘾、酒瘾、赌瘾、毒瘾……都会对生命健康甚至社会治安造成严重危害,此外,也有人对某种食品(冰激凌,辣条)上瘾,对咀嚼感成瘾,购物成瘾,收藏成瘾,还有一种是你可能也经历的——手机成瘾。

不要拿走我的手机(平板)!| 图虫创意
十几年前,有一个小品桥段这样调侃——
“你觉得五分钟时间能干嘛?”
“抽一支烟。”
“十分钟呢?”
“抽两支。”
“瞧你这出息。”
现在如果重写脚本,大概是——
“五分钟时间能干嘛?”
“刷段抖音。”
“瞧你这出息,就不能刷一篇我是科学家演讲吗?”
“手机成瘾”是时代产物,吸烟成瘾则由来已久,人们明知深受其害,但吸烟者的数量不减反增。
2
随着控烟的宣传与普及,越来越多烟民加入了戒烟行列,他们相信凭借信心和毅力就可以摆脱尼古丁的控制。然而事实表明,每年大约有70%的烟民都有戒烟意愿,也有30%做出了认真尝试,但最终只有3%的人获得成功——其实,戒断期的焦躁与空虚只是磨练的开始,拒绝各种场合有意无意的诱惑才是真正困难所在。
在众多的吸烟干预方法中,标准干预程序(Gold Standard Programme)是认可度较高的一种,自1995年在丹麦广为应用。在为期6周的控制中,它一方面为戒烟者提供相关课程(5 ~ 6次),一方面鼓励他们选取合适的尼古丁替代品,然而实际效果却不甚理想,约75%的参与者在6个月内复吸,或对计划完全没有响应[4]。
现在,戒烟者多了一个方法——催眠。当然,这里说的“催眠”并非影视剧里所演绎“打一个响指,你就完全被控制了”,再高超的催眠师都需要一个“催眠引导”过程。

催眠也可用于戒烟哦 | 图虫创意
在戒烟方面,催眠确实有所成效。在中国科学技术大学生命科学学院教授张效初的实验室里,曾有一个催眠敏感度达到最高等级分数(12分)的吸烟者接受了催眠治疗。催眠师告诉他“吸烟是让你恶心的,味道是让你想吐的......”,催眠结束后,他随手点支烟吸了一口,结果就真的吐了,连他自己都觉得很惊奇[5]。
神经生物学这样解释催眠背后的神经机制:一个从背外侧前额叶到岛叶的自上而下的神经通路是这一现象的基础,背外侧前额叶与自我控制能力相关,而岛叶与吸烟渴求相关。
简单说,在这个实验中,催眠是一种“他控”方法。通过外界暗示,使大脑中的一个神经通路发生变化,从而使受试者对吸烟这一行为做出厌恶反应。
目前,张效初教授的团队正在研究另外一种戒烟方法,可以使受试者实现“自控”戒烟:通过一些大脑训练,吸烟者能自己有效地调控对吸烟的渴求。
这种调控吸烟渴求的“自控”不同于克制吸烟行为的“自控”。大部分戒烟者都有过强烈克制自己吸烟的痛苦经历:转移注意力,想吸烟的时候就开始嗑瓜子、嚼口香糖,更有甚者,会伤害自己,企图用痛感减弱烟瘾——但其实,这只是用一种欲望暂时取代另一种欲望,短期内遮盖烟瘾,很难得到长期成效。

2019年4月,张效初教授团队带来的新戒烟方式——通过神经反馈训练帮助戒烟者克服吸烟冲动——的研究论文[6],发表在了Brain杂志上|academic.oup.com
3
我们知道,人类大脑每片区域都有多种功能,它们有条不紊地安排着生命活动,同时也根据身体的反馈进行调整。
如果我们了解到大脑与特定行为的关系,是不是就可以通过训练调节大脑活动?

神经反馈示意图 | 参考文献[7]
神经反馈(Neuro feedback)就是这样一种程序。研究人员为参与者带上脑电设备,通过直观形式(视觉、听觉等)向他反馈其脑部的神经活动,从而帮助参与者自我调节大脑活动,恢复和增强大脑的认知功能。
听起来很厉害,可是神经反馈为什么能够应用在治疗烟瘾方面?
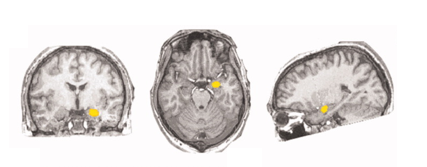
原来,尼古丁成瘾有一个核心特征——吸烟线索反应(smoking cue reactivity),即对与吸烟相关的提示表现出显著的生理和主观反应。在这个过程中,吸烟成瘾者大脑中的杏仁核会消耗更多氧气和营养物质,引起循环系统发送更多高氧血液,从而导致激活区域的血氧水平增加。吸烟线索反应可能是复吸发作的重要诱发因素,也可能从根本上影响着戒烟者的控制能力。

大脑中不同位置的杏仁核|参考文献[8]
换句话说,如果能够减少吸烟成瘾者大脑对于吸烟线索的反应,就能在一定程度上改善他们的戒烟困境。
4
为了了解神经反馈范式对吸烟成瘾者的疗效,张效初团队的卜俊杰招募了60名符合实验要求的吸烟成瘾者。对参与者的测试主要分为两部分:
第一步:获得参与者的特异性成瘾反馈信号。
这些吸烟成瘾者需要先完成几份与自身特质相关的问卷,包括尼古丁依赖程度、情绪调节能力、冲动程度以及奖惩敏感性。研究者把他们分为人数相等的两个组:实验组(real-feedback group)和对照组(yoked-feedback group)。随后,两组参与者均会接受神经反馈训练。
在神经反馈训练中,研究者选择了330幅展示图片,其中150张与吸烟相关(如手拿香烟),150张为中性(如手拿铅笔),剩下30张与动物相关(如袋鼠)。

手拿香烟 | 图虫创意
参与者们的任务是仔细观察屏幕显示的图片,并在显示动物图片时尽快按下选择按钮(动物图片的作用是提醒参与者在实验过程中保持注意力)。与此同时,计算机会接收到参与者对吸烟相关图片和中性图片的信号反馈,并对参与者当前大脑活动模式与吸烟线索反应模式进行匹配打分,分数越高则意味着停用吸烟线索反应模式不成功的概率越大,对吸烟相关图片的敏感程度越高。

神经反馈训练周期内的反馈信息的截屏 | 参考文献[6]
第二步:让参与者调控前期获得的特异性信号,降低其对吸烟的渴求。
对于实验组的参与者而言,将前期获得的特异性信号展现给他们,在获得较高分数的节点,显示屏会出现一张具有更高渴望水平的图片(也就是说,放大吸烟线索反应的影响,相当于惩罚),提示参与者进行自我监测和调整,用“意念”使这个分数降低。经过多次训练后,参与者能够确定最适合自己的认知策略,从而更有效地降低调控神经反馈信号——即面对吸烟线索时,吸烟欲望相较从前有所降低。
而对于对照组,尽管他们参与了同样的实验,但所接收的反馈信号来自于实验组(参与者并不知情)。这是为了保证实验得到的结果不受其他因素(如人的心理作用)的影响。

参与者每日吸烟数量|参考文献[6]
结果显示,经过两次神经反馈训练,实验组的参与者成功降低了吸烟线索反应,其吸烟渴望和吸烟行为受到了短期和长期的影响。他们每日吸烟的数量较实验前有明显的下降,但在后期也存在一定回升,总体呈现出显著的U型变化,这表明神经反馈训练作用效果具有明显的时间特性,可能需要在重要时间点上进行强化以保证治疗效果。
这项研究的创新在于:可以根据吸烟者的个体差异设计治疗方案,使其在治疗过程中得到更准确的神经反馈信息,更有效地“对症下药”,将增加戒烟的成功率。
与其他戒烟方法相比,这种新型神经反馈干预具有明显的优势。比如,仅仅2个小时的神经反馈训练就能带来随后4个月38.2%的吸烟率降幅。而且,实验所用脑成像技术相对便宜便携,可以在任何位置轻松实施,具有广泛应用的潜力。

吸烟线索反应是复杂的大脑活动 | 图虫创意
研究者也表示,这个方法距离临床应用还需要进一步检验。因为吸烟线索反应是一种复杂的大脑活动模式,而研究对参与者的概括性较为有限。“同时,长期的神经反馈表现也可能受到其他因素的影响——尽管我们要求参与者在神经反馈训练中练习最适合他们的策略,但后续并未提供进一步指导。探究参与者是否使用习得的神经反馈策略处理生活中的其他渴望是很有趣的。”
不管怎么说,至少让我们看到了一些曙光:戒烟者免去遭受戒断反应折磨,公众无需在公众场所忍受“二手烟”,控烟工作者不必费心费力劝人“少抽烟”……想想都令人憧憬呢。
*关于具体的研究细节,感兴趣的朋友可以戳链接:https://doi.org/10.1093/brain/awz114
排版:凝音
题图来源:图虫创意
参考文献:
[1] 2015年中国烟草销售量第一次下降,我们以为拐点来了,没想到空喜一场. https://mp.weixin.qq.com/s/K7IGMoKXrDPvxanAvInTrg
[2] 张丁丁. 吸烟行为和SGK家族基因对高血压发病的影响[D]. 北京:北京协和医学院,2017.
[3] Benowitz N L. Nicotine addiction[J]. New England Journal of Medicine,2010,362 (24):2295.
[4] Rasmussen M,Fernández,Esteve,Tønnesen H. Effectiveness of the Gold Standard Programme compared with other smoking cessation interventions in Denmark:a cohort study[J]. BMJ Open,2017,7 (2):e013553.
[5] 我想研究一些情侣,看一年当中他们多少对会分手,如果都没分的话,我的实验就失败了. https://mp.weixin.qq.com/s/eUO2rrK_JagMlhey4u_ECg
[6] Bu J J,Young K D,Hong W,et al. Effect of deactivation of activity patterns related to smoking cue reactivity on nicotine addiction[J]. Brain,2019,142:1827–1841.
[7] Schmidt J,KäRgel C,Opwis M. Neurofeedback in substance use and overeating:current applications and future directions[J]. Current Addiction Reports,2017,4 (2):116–131.
[8] Zhang X,Chen X,Yu Y,et al. Masked smoking-related images modulate brain activity in smokers[J]. Human Brain Mapping,2009,30 (3):896–907.
责任编辑:王超
上一篇:慢性咽炎老不好?治“胃”!
科普中国APP
科普中国微信
科普中国微博

最新文章
-
为何太阳系所有行星都在同一平面上旋转?
新浪科技 2021-09-29
-
我国学者揭示早期宇宙星际间重元素起源之谜
中国科学报 2021-09-29
-
比“胖五”更能扛!我国新一代载人运载火箭要来了
科技日报 2021-09-29
-
5G演进已开始,6G研究正进行
光明日报 2021-09-28
-
“早期暗能量”或让宇宙年轻10亿岁
科技日报 2021-09-28
-
5G、大数据、人工智能,看看现代交通的创新元素
新华网 2021-09-28








